Microcalcifications in breast tissue: Paving the way for future diagnostic solutions?

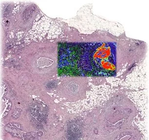
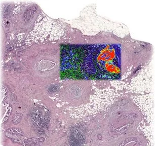
Stained sample showing a breast cancer lesion. In the colored inset, malignant microcalcifications are shown in red.

In the human body, biomineralization and calcification processes occur not just in bone but for example also in kidney, artery, thyroid, brain and breast. Microcalcifications are a common sign in mammography. In a large portion of cancer cases, 90% of ductal carcinoma in situ, microcalcifications are the first and unique sign indicating the presence of the lesion. Consequently, a very large number of biopsies are performed due to the presence of microcalcifications.  Up to around 50% of these biopsies reveal a benign lesion, a 'false positive'. Therefore, a huge number of patients -- millions in the last three decades -- underwent a biopsy that finally yielded a negative result for cancer. This is associated with psychological stress, discomfort, and elevated costs for healthcare systems.

Ideally, one could recognize the malignancy of suspected breast lesions without performing biopsies or, at least, reduce the false positives.

Researchers of Istituti Clinici Scientifici Maugeri and University of Milan, in collaboration with colleagues from the Italian National Research Council (CNR) in Bari, from Pavia University and from the Paul Scherrer Institute in Switzerland, have recently concluded a multidisciplinary study to clarify whether the composition and crystalline structure of microcalcifications correlates with breast cancer. Almost 500 microcalcifications were investigated in patients presenting cancer or benign lesions using Raman imaging spectroscopy. This approach has unique capabilities to easily study the biochemical composition of biological samples, in particular those presenting mineralized components. In parallel, they employed different scanning X-ray microscopy approaches to validate the crystalline properties of microcalcifications.

Results demonstrated that breast microcalcifications detected in tumors have specific chemical and crystalline features, different from those observed in benign samples. In details, microcalcifications associated with malignancy are more homogeneous and more 'crystalline', suggesting that their formation could be related to active and fast processes, producing more 'pure' crystals. Moreover, the study reports that microcalcifications detected in tumors, but located outside the lesion, show malignant features too. This indicates that cancer influences the surrounding tissue even if this apparently exhibits healthy morphological features.

These results indicate that the biochemical differences between benign and malignant microcalcifications can be potentially identified by light-based tools, able to investigate microcalcifications inside the breast without performing biopsies. Next steps will be on the development of such new diagnostic instrumentation able to potentially reduce the number of false positive biopsies thanks to the easier identification of malignant microcalcifications.

Contact

Dr. Oliver Bunk
Paul Scherrer Institut
E-mail: oliver.bunk@psi.ch

Dr. Cinzia Giannini
Istituto di Cristallografia
Consiglio Nazionale delle Ricerche
E-mail: cinzia.giannini@ic.cnr.it

Original Publication

Renzo Vanna, Carlo Morasso, Beatrice Marcinnò, Francesca Piccotti, Emanuele Torti, Davide Altamura, Sara Albasini, Manuela Agozzino, Laura Villani, Luca Sorrentino, Oliver Bunk, Francesco Leporati, Cinzia Giannini and Fabio Corsi
Raman Spectroscopy reveals that biochemical composition of breast microcalcifications correlates with histopathological features.
Cancer Research.

https://doi.org/10.1158/0008-5472.CAN-19-3204