Show filters
Nuove conoscenze su una malattia rara
I ricercatori del PSI stanno decifrando il modo in cui i difetti genetici danneggiano le cilia umane in modi diversi - un passo avanti verso una migliore diagnosi di una malattia finora poco conosciuta: la diskenia ciliare primaria.
Riconoscere le malattie genetiche nelle immagini cellulari con l'intelligenza artificiale
Una nuova intelligenza artificiale riconosce i disturbi genetici nella cromatina: un potenziale approccio per la diagnostica e lo sviluppo di farmaci.
Sulla strada della medicina controllata dalla luce
I ricercatori del PSI hanno chiarito la struttura di speciali fotorecettori.
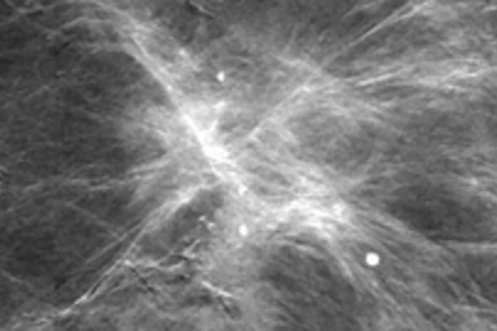
Brustkrebs-Charakterisierung mit KI
Forschende des PSI und des MIT entwickeln einen neuen Ansatz aufgrund einer Kombination aus Bildgebung und künstlicher Intelligenz, um das Staging bei Brustkrebs zu verbessern.
Früherkennung von Krebs möglich machen
Forschende des PSI entwickeln eine grundlegend neue Methode zur Früherkennung von Krebs.
Krankheiten an der Wurzel packen
Mit modernen hochauflösenden Bildgebungsverfahren machen PSI-Forschende Aufnahmen von Zellkernen und erkennen so zuverlässiger Anomalien.
Brustkrebs früher erkennen
Präzises 3-D-Röntgen kann Brustkrebsvorsorge verbessern.
Röntgenblick nach Herztransplantationen
Synchrotronlicht hilft dabei, nach einer Herztransplantation zu beurteilen, ob und wie stark der Körper das neue Organ abstösst.
Bildgebende Erfassung von Alzheimer- Biomarkern
Künstliche Intelligenz kann anhand der Packungstruktur von DNA auf Bildern von Mäusegehirnen Zellen lokalisieren, die auf eine Alzheimer-Erkrankung hindeuten, so eine Studie in Nature Communications.
Tumore nierenschonend diagnostizieren
Verbesserte Methode dank eines molekularen Kniffs
Swissmedic erteilt Genehmigung zur neuen Produktionsstätte für Radiopharmazeutika
Von der Forschung in die Produktion – das neue Pharmalabor am PSI beliefert die umliegenden Spitäler mit neuartigen Krebsmedikamenten.
Asthma: Diagnose in einem Atemzug
Das PSI beteiligt sich an der Entwicklung eines Atemtests, mit dem sich Asthma diagnostizieren lässt. Imad El Haddad erzählt, wieso so ein Test extrem nützlich wäre – vor allem für Kinder.
KSB und PSI gehen in der Forschung gemeinsame Wege
Das Kantonsspital Baden und das Paul Scherrer Institut PSI haben einen Kooperationsvertrag unterzeichnet.
Medikamente mit Strahlkraft
Im Dienst der Gesundheit arbeiten Wissenschaftler am Paul Scherrer Institut PSI mit Radionukliden und entwickeln Wirkstoffe, um Krebsleiden zu behandeln und Tumore aufzuspüren. Ihre Forschung unterstützt Spitäler und ist für die Schweizer Industrie von grossem Interesse.
Im Fokus der Protonen
Am PSI arbeiten Forschende Tag für Tag mit Radioaktivität, um fortschrittliche Behandlungsmethoden für Patienten zu entwickeln. Ganz selbstverständlich hantieren sie unter besonderen Sicherheitsvorkehrungen mit einem Material, das zerfällt. Es ist ein Wettlauf gegen die Zeit. Damit alles reibungslos funktioniert, kümmert sich eine eigene Arbeitsgruppe um die Infrastruktur.
Den Krebs im Inneren treffen
Im Kampf gegen Krebs untersuchen Forschende am Paul Scherrer Institut PSI eine neue Methode, um radioaktive Substanzen nicht nur aussen an eine Tumorzelle anzuheften, sondern sie bis in den Zellkern einzuschleusen. Wenn man die passenden radioaktiven Verbindungen findet, hat dieses Wirkprinzip das Potenzial, in Zukunft bei mehreren Arten von Krebs zu helfen.
Medikamente punktgenau hergestellt
Am PSI entwickeln Wissenschaftler neue Wirkstoffe gegen Krebs. Diese enthalten radioaktive Substanzen, die dem Patienten gespritzt werden und somit bis zum Tumor vordringen können. Dort soll ihre Strahlung die Krebszellen im direkten Kontakt zerstören. Doch ehe ein solches radioaktives Arzneimittel in ersten klinischen Studien am Patienten getestet werden kann, muss seine Sicherheit garantiert sein, damit der Patient keinen Schaden nimmt. Deshalb wird am PSI jeder Wirkstoff unter sterilen Bedingungen hergestellt und überprüft – für jeden Patienten separat und nur auf Bestellung.
Phasenkontrast verbessert Mammografie
Mithilfe des Phasenkontrast-Röntgens ist es Forschenden der ETH Zürich, des Paul Scherrer Instituts PSI und des Kantonsspitals Baden gelungen, Mammografien zu erstellen, anhand derer Brustkrebs und dessen Vorstufen präziser beurteilt werden können. Das Verfahren könnte dazu beitragen, Biopsien gezielter einzusetzen und Nachfolgeuntersuchungen zu verbessern.
Neues Diagnoseverfahren bei Brustkrebs vielversprechend
Ein neues Mammografie-Verfahren könnte laut einer soeben veröffentlichten Studie einen deutlichen Mehrwert für die Diagnose von Brustkrebs in der medizinischen Praxis bringen. Die am PSI in Zusammenarbeit mit dem Brustzentrum des Kantonsspitals Baden und dem Industriepartner Philips entwickelte Methode macht bereits kleinste Gewebeveränderungen besser sichtbar. Dies könnte potenziell die Früherkennung von Brustkrebs verbessern. Zukünftig sollen Studien an Frauen mit einer Brustkrebserkrankung den Mehrwert der Methode endgültig belegen.
Bauchspeicheldrüse: Neues Verfahren erkennt Tumore besser
Besser als CT und MRT: Forschende des Inselspitals Bern, des Universitätsspitals Basel und des Paul Scherrer Instituts haben eine neue Methode zur Erkennung kleiner Tumore in der Bauchspeicheldrüse entwickelt.
Neue Methode für die Krebserkennung mit Brustgewebe erprobt
Das Paul Scherrer Institut PSI hat eine neue Methode zur Diagnose von Brustkrebs entwickelt und nun zusammen mit dem Kantonsspital Baden AG erstmals an nicht-konserviertem, menschlichem Gewebe erprobt. Dabei wurde erkannt, dass es mit der neuen Methode möglich sein sollte, Strukturen sichtbar zu machen, die mit der herkömmlichen Mammografie nicht abgebildet werden. Wissenschaftler der Forschungsabteilung des Unternehmens Philips untersuchen derzeit auf Grundlage des vorgestellten Verfahrens den Einsatz in der medizinischen Praxis.
Scharfe Röntgenbilder im Krankenhaus und am Flughafen
Publikation in Nature. Forscher des Teams von Franz Pfeiffer am Paul Scherrer Institut (PSI) und der ETH Lausanne haben eine Methode zum Erstellen von Dunkelfeld-Röntgenbildern entwickelt, die mit gleicher Wellenlänge auskommt wie heute im Alltag verwendete Geräte. Mit Dunkelfeld-Bildern können Krankheiten wie Osteoporose, Brustkrebs oder Alzheimer in einem frühen Stadium diagnostiziert werden, auch lassen sich Sprengstoffe im Handgepäck sowie Haarrisse oder Korrosionsschäden in Werkstoffen identifizieren.