X-ray Imaging for Biomedicine: Imaging Large Volumes of Fresh Tissue at High Resolution

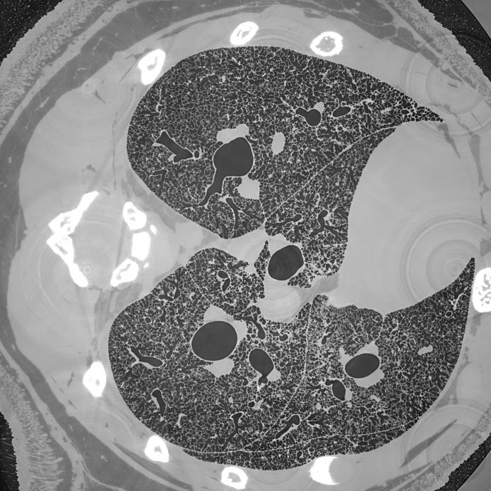
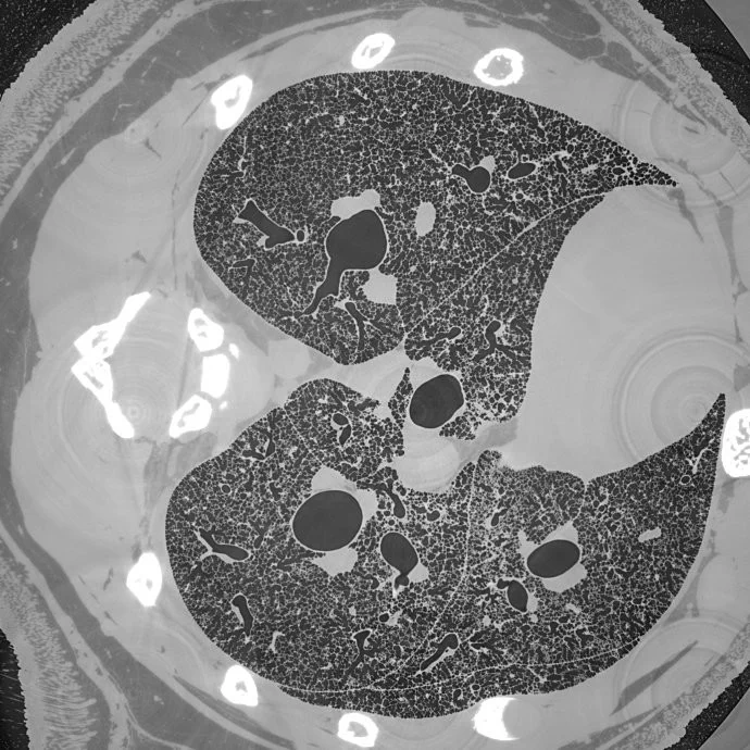
High-resolution cross-section throught the full lung of a freshly post mortem juvenile rat.

The TOMCAT beamline at the Swiss Light Source specializes in rapid high-resolution 3-dimensional tomographic microscopy measurements with a strong focus on biomedical imaging. The team has recently developed a technique to aquire large volume datasets with high resolution in a very short time.

An international team of researchers, headed by the TOMCAT group and collaboration partners at the University of Bern, have used this method to acquire micrometer-scale resolution datasets on the entire lung structure of a juvenile rat in its fresh natural state within the animal’s body and without the need for any fixation, staining or other alteration that would affect the observed structure. The study is published as part of an upcoming special issue of Histochemistry and Cell Biology devoted to the topic of 3D lung imaging. The openly accessible 1.2 TB-sized dataset reveals the smallest structural features of the lung, the alveoli, over the whole extent of the lung.

This fast large-volume tomographic imaging method allows researchers to study the lung development in animal models with age as well as the effects of lung diseases such as asthma, chronic obstructive pulmonary disease, lung fibrosis, or pneumonia-like infections over the different stages during the course of the illness. In a next step, the regional microscopic effects and efficacy of pharmacological and other medical interventions can be investigated in detail. Furthermore, the precise knowledge of the geometry of the lung’s airways system during a particular disease pathology helps in the development of suitable pharmaceutical aerosol sprays to assure the active ingredients are deposited efficiently in the affected lung regions.

Overview 3D rendering of a juvenile rat lung
Zoom-in on the details of the lung structure of a juvenile rat.
Original Publication

Micrometer-resolution X-ray tomographic full-volume reconstruction of an intact post-mortem juvenile rat lung
Borisova, E., Lovric, G., Miettinen, A., Fardin, L., Bayat, S., Larsson, A., Stampanoni, M., Schittny, J. C., & Schlepütz, C. M.
Histochemistry and Cell Biology (2020).

Open Access Data

The processed datasets associated with this study are openly accessible:
http://www.doi.org/10.16907/7eb141d3-11f1-47a6-9d0e-76f8832ed1b2

PSI Contact
Dr. Christian M. Schlepütz
Beamline Scientist, Swiss Light Source
Paul Scherrer Institut
Telephone: +41 56 310 4095
E-mail: christian.schlepuetz@psi.ch